New study in cutaneous T-cell lymphoma open to recruitment
22 March 2019
The CTC has announced the opening of a new national cutaneous T-cell lymphoma trial called PORT, supported by Cancer Research UK and Merck Sharp & Dohme (MSD). 

Cutaneous T-cell lymphoma (CTCL) is a rare type of non-Hodgkin lymphoma which affects the skin. The PORT study will investigate whether radiotherapy in addition to pembrolizumab (a type of immunotherapy drug designed to re-awaken the immune system) will improve the disease's response to treatment.

In this study, 46 adult patients (aged ≥ 18 years) with CTCL, whose disease has either come back or not responded to treatment, will be given pembrolizumab with radiotherapy. Pembrolizumab will be given every 3 weeks for a maximum of 2 years. Patients will also receive radiotherapy at week 12 of their treatment. 

Professor Tim Illidge, chief investigator of the study, remarked: 'A variety of chemotherapy regimens have led to high response rates in small patient groups with CTCL, though with short duration of response.  There remains an urgent requirement for more effective treatments that will lead to durable responses and improved quality of life for this debilitating malignancy.

'Immune checkpoint inhibitors, such as anti-PD1, are resulting in durable anti-tumour responses in some patients with hard to treat cancers, including CTCL. We are investigating whether radiotherapy in combination with the anti-PD1 inhibitor pembrolizumab results in improved response rates in advanced CTCL.  This will be a promising novel approach to improving patient outcomes in CTCL.'

PORT will open at 12 sites in the UK. The trial is due to complete recruitment by 2022. More details on the study can be found here.


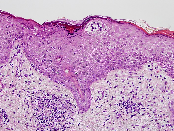
Image: sparse infiltrate with epidermotropism (courtesy of Dr Julia Scarisbrick)
Contact Us
Cancer Research UK & UCL Cancer Trials Centre
University College London
90 Tottenham Court Road
London
W1T 4TJ

View map
Email:
ctc.enquiries@ucl.ac.uk
Telephone:
+44 (0)20 7679 9898 (General CTC Enquiries)
University College London, Gower Street, London, WC1E 6BT +44 (0)20 7679 2000

Copyright © 2026 UCL | Disclaimer | Freedom of Information | Accessibility | Privacy | Cookies | Contact Us